Найти
Ортодонт Эксперт
Для пациентов
г.Санкт-Петербург
ул. Петрозаводская д.13
8 (812)
565-72-61
г.Санкт-Петербург
ул. Турку, д.11 корп.2
8 (812)
565-72-61
г.Гатчина
ул. Коли Подрядчикова д. 22
8 (812)
565-72-61
Записаться на консультацию
О нас
Варианты оплаты
Гарантии
Обучение врачей
Отзывы врачей
FAQ
Врачи
Брекеты / Элайнеры
Отзывы
Результаты
Фото результатов
Видео результатов
Акции
Статьи
Контакты
Главная
Фото результаты
Фото результаты
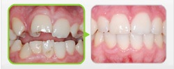
Ретенция зубов (непрорезывание одного или нескольких зубов)
Подробнее
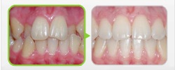
Расширение улыбки брекетами при незначительной неровности
Подробнее
Дистальный (верхние зубы впереди нижних) и глубокий прикус
Подробнее
Открытый прикус в сочетании с другими аномалиями
Подробнее
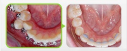
Примеры лечения внутренними (лингвальными) брекетами
Подробнее
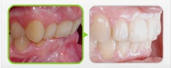
Закрытие промежутков путем перемещения зубов
Подробнее
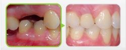
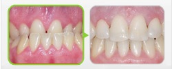
Промежутки между передними зубами (диастема, тремы)
Подробнее
Мезиальный прикус (нижние зубы впереди верхних)
Подробнее
Значительная неровность задних зубов
Подробнее
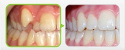
Неправильное положение (дистопия) клыка (ов)
Подробнее
Неровное положение передних зубов (резцов), в том числе положение вторых зубов внутрь (небное положение)
Подробнее
Результаты лечения Как было и как стало
Видео результатов
Фото результатов
Cтатьи от наших экспертов
Капы-элайнеры: комфортное и эффективное ортодонтическое лечение
Брекеты Insignia - индивидуальная брекет система
Хирургическое исправление прикуса
Звезды до и после лечения брекетами
Ортодонтические ретейнеры
Все статьи
Записаться на прием
Оставьте контактные данные,
в ближайшее время администратор свяжется и ответит на все вопросы
Клиника
Любая
Клиника на Турку
Клиника на Петрозаводской
Клиника в Гатчине
Принимаю условия обработки
персональных данных
.
Отправить
Записаться на прием
Записаться на прием
Клиника
Любая
Клиника на Турку
Клиника на Петрозаводской
Клиника в Гатчине
Принимаю условия обработки
персональных данных
.
Отправить
Благодарим за обращение.
В ближайшее время мы свяжемся с Вами и назначим удобное время для онлайн-консультации.